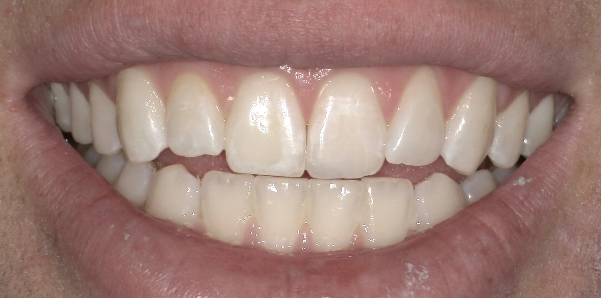
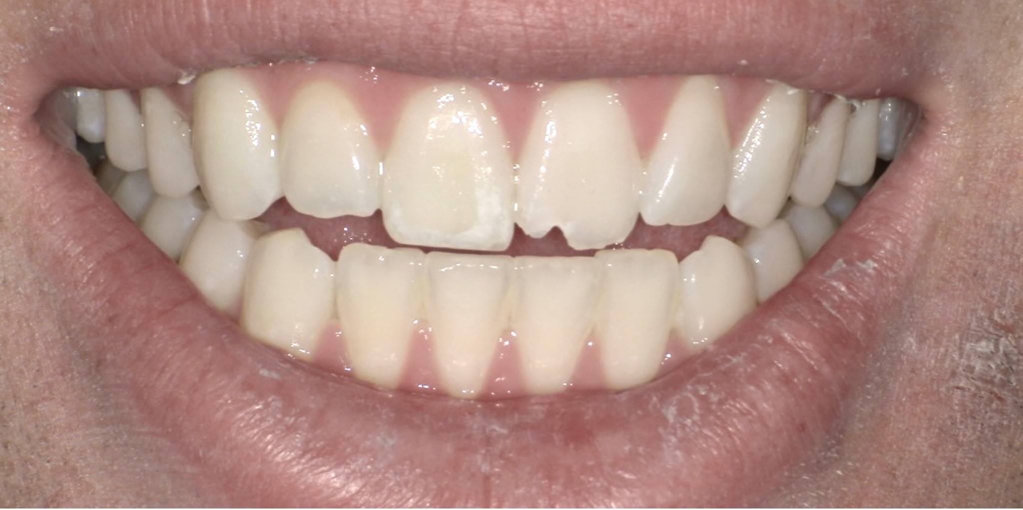
Fillings, Inlays, and Onlays
Fillings, inlays, and onlays are dental treatments used to restore damaged or decayed teeth, each serving a specific purpose based on the extent of the damage.
Fillings are the most common and are used to repair cavities or small areas of decay by removing the decayed portion of the tooth and filling the space with materials like composite resin, amalgam, or glass ionomer.
Inlays are custom-made restorations that fit into the cavity left by decay, providing a more durable and aesthetically pleasing option than traditional fillings. They are crafted in a dental laboratory and then bonded to the tooth.
Onlays, also known as "partial crowns," cover larger areas of the tooth, extending over one or more cusps (the pointed parts of the tooth) for more extensive damage or decay. Like inlays, onlays are custom-made and provide enhanced strength and protection, often used when the damage is too vast for a filling but not severe enough to require a full crown.
Each option aims to restore the tooth's function and appearance while ensuring long-term durability.
Procedure of Dental Fillings
The procedure for dental fillings begins with the family dentist in Santa Clara, CA, assessing the tooth to determine the extent of decay or damage. After numbing the area with a local anesthetic, the dentist removes the decayed or damaged portion of the tooth using specialized instruments. Once the cavity is cleaned and prepared, the filling material, composite resin, dental amalgam, or glass ionomer, is placed and shaped to restore the tooth's natural contours. The material is hardened, often with a special light for composite resins, to ensure a durable and secure fit. Finally, our dentist checks the bite and makes necessary adjustments to ensure the filling aligns appropriately with the surrounding teeth.
The Benefits of Dental Fillings
- Fillings in Santa Clara, CA, restore the functionality of a damaged or decayed tooth, enabling normal chewing and biting.
- Dental fillings prevent tooth deterioration by filling cavities or cracks. This can prevent the need for more extensive treatments such as extractions or emergency dentistry.
- Tooth-colored fillings, such as composite resins, blend seamlessly with natural teeth, enhancing aesthetic appeal.
- The procedure is simple and quick, often completed in a single visit, with minimal discomfort.
- Fillings allow dentists to preserve the natural tooth structure as much as possible, unlike more invasive treatments.
- Fillings are generally a cost-effective option for treating cavities and minor tooth damage.
- Dental fillings are vital to emergency dentistry, providing immediate relief and protection for teeth affected by sudden decay or trauma.
Procedure of Dental Inlays
The procedure for dental inlays begins with the dentist examining the tooth to determine if an inlay is suitable. After numbing the area with local anesthesia, the dentist removes the decayed or damaged portion of the tooth. A precise impression or digital tooth scan is then taken to create a custom mold for the inlay. A temporary inlay may be placed to protect the tooth while the permanent one is crafted in a dental laboratory.
Once the custom inlay is ready, the dentist removes the temporary restoration, places the permanent inlay into the cavity, and bonds it securely with dental adhesive. The dentist checks and adjusts the fit and bites to ensure comfort and function. Contact us today to learn more.
Benefits of Dental Inlays
- Inlays are custom made to precisely fit the cavity or damaged area of the tooth, ensuring a snug and accurate fit.
- Tooth-colored inlays blend seamlessly with natural teeth, providing a natural-looking restoration that enhances smile aesthetics.
- The procedure for inlays is less invasive than crowns, as it conserves more of the healthy tooth structure.
- Inlays help restore and reinforce the tooth's structure, adding strength and resistance to further damage.
- By sealing the cavity and protecting the tooth, inlays help prevent additional decay and deterioration.
- Inlays restore the tooth's functionality, enabling normal chewing and biting without discomfort.
Procedure of Dental Onlays
The procedure for dental onlays involves similar initial steps as inlays. The dentist first assesses the tooth and administers local anesthesia to numb the area. After removing the damaged or decayed portions of the tooth, a detailed impression or digital scan is taken to design the custom onlay. A temporary onlay may be placed to protect the tooth until the permanent one is ready. Once the custom onlay is fabricated, the dentist places it onto the tooth, bonds it with adhesive, and makes necessary adjustments to ensure proper fit and function. Onlays cover a more significant portion of the tooth than inlays, providing enhanced protection and strength for more extensive damage.
Benefits of Dental Onlays
- Onlays cover a larger portion of the tooth than fillings and inlays, including one or more of the tooth's cusps, providing extensive protection and reinforcement.
- By covering extensive damage, onlays provide superior protection against further decay and structural damage, extending the life of the natural tooth.
- Tooth-colored onlays blend seamlessly with the natural tooth, improving the smile's overall appearance while providing strength.
- Onlays restore the tooth's full function, allowing for comfortable chewing and biting without discomfort or weakness.
- Onlays help prevent additional issues and decay by sealing and reinforcing the tooth, contributing to long-term oral health.
Fillings, inlays, and onlays each play a vital role in restorative dentistry, offering solutions tailored to different levels of tooth damage. Visit Crestview Family Dental at 265 Crestview Dr, Santa Clara, CA 95050, or call (408) 217-0727 to learn more about our restorative options and how we can enhance your oral well-being!
Filling/Bonding
Visit Our Office
Office Hours
- MON8:00 am - 5:00 pm
- TUE8:00 am - 5:00 pm
- WED8:00 am - 5:00 pm
- THU8:00 am - 5:00 pm
- FRIAppointment Only
- SATAppointment Only
- SUNClosed




