Teeth Whitening
A bright, white smile is often associated with health, youth, and confidence, making teeth whitening one of the most sought-after cosmetic dental procedures.
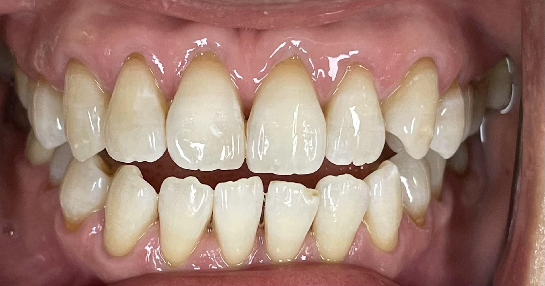
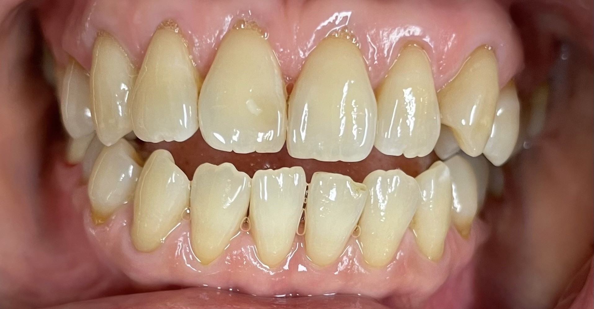
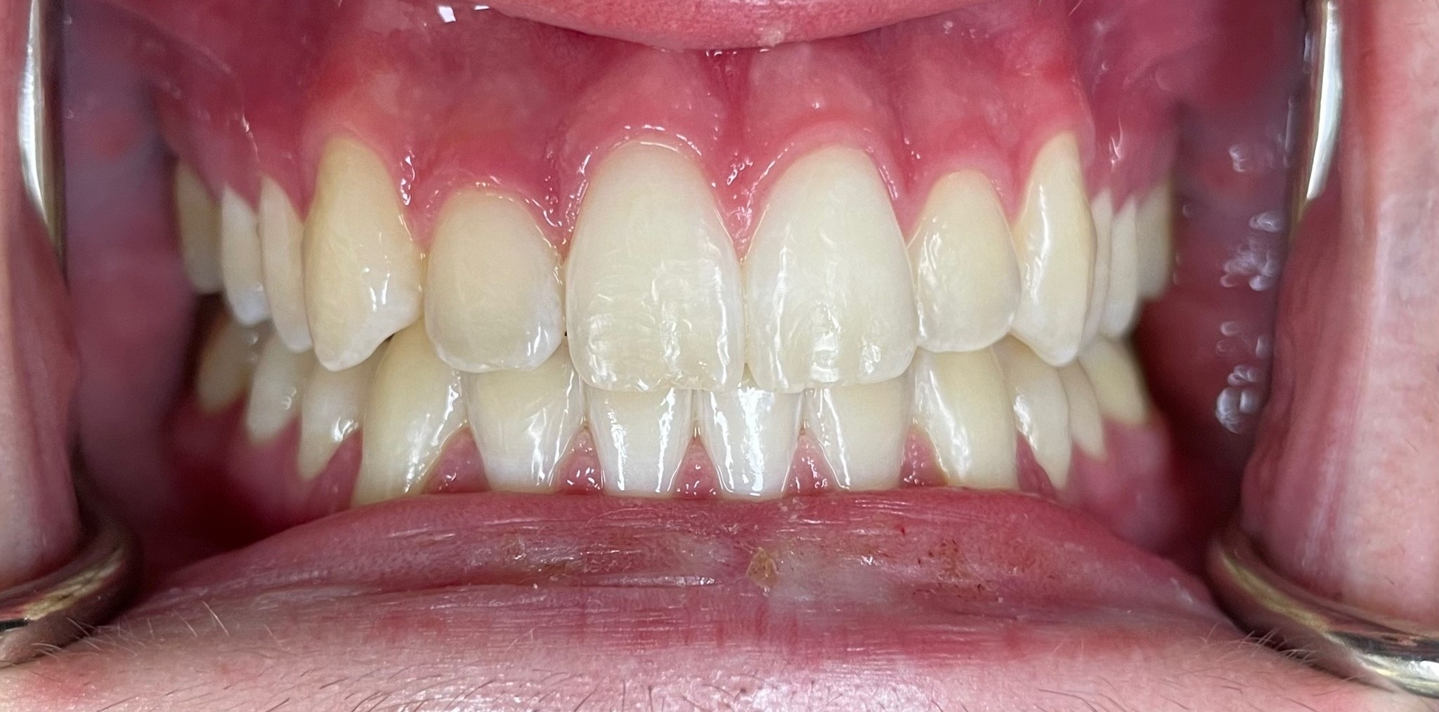
Teeth whitening is a cosmetic dental procedure designed to lighten the color of the teeth and reduce stains and discoloration, restoring their natural whiteness. The process involves using whitening agents, typically hydrogen peroxide or carbamide peroxide, to break down and remove pigments accumulated on the tooth enamel over time.
Teeth whitening can be performed in a dental office with professional-grade products and advanced techniques for rapid and significant results or at home with over-the-counter products such as whitening kits, toothpaste, or strips. The treatment effectively addresses surface stains caused by food, beverages, smoking, and aging, offering a brighter, more youthful appearance to the smile.
Who Can Benefit From Teeth Whitening?
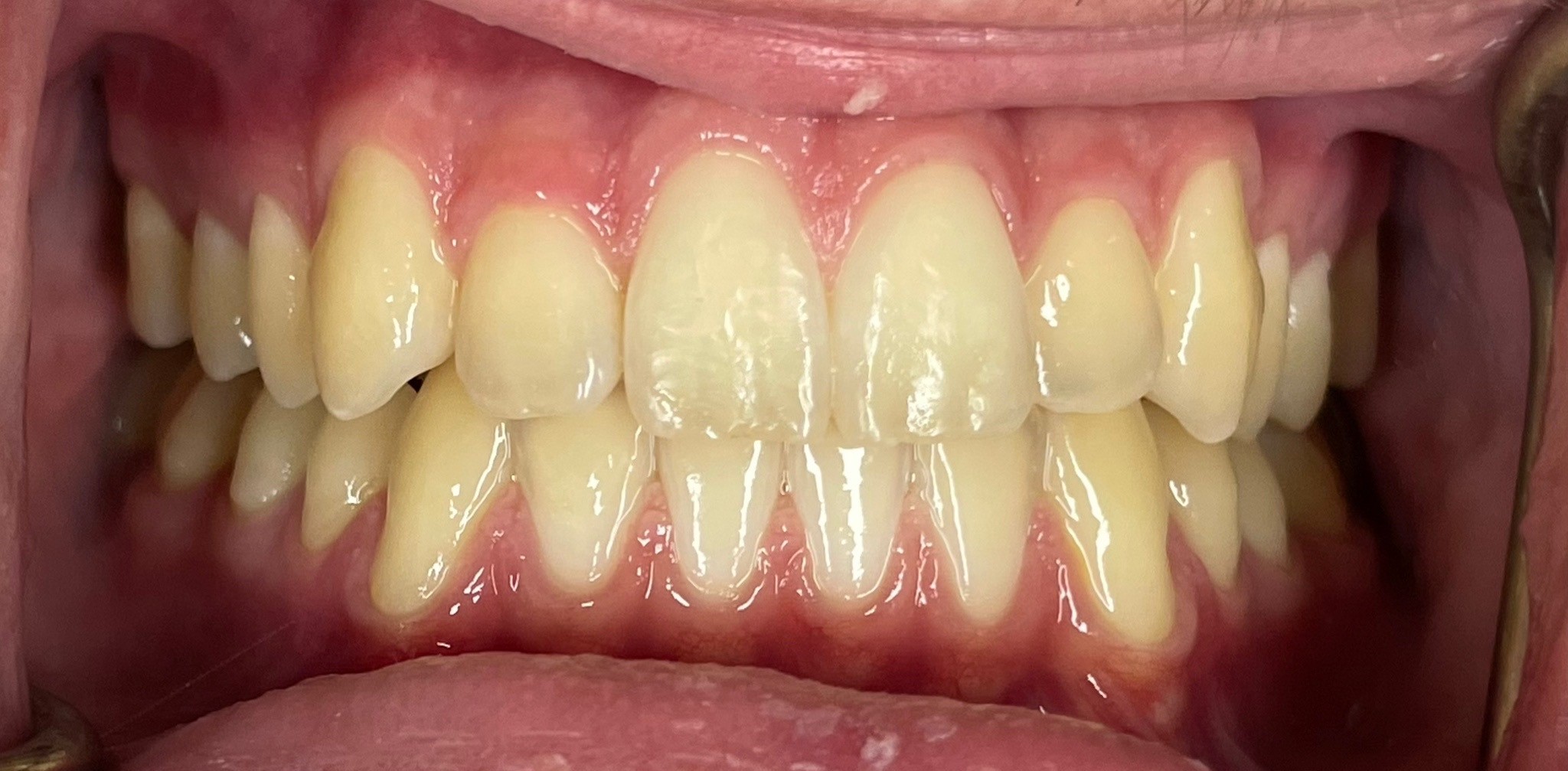
- People who have surface stains caused by everyday consumption of staining substances like coffee, tea, red wine, and tobacco can benefit significantly from teeth whitening. These stains are often amenable to treatment with whitening products, which help remove or lighten the discoloration, leading to a brighter smile.
- As we age, the enamel on our teeth can wear down, revealing the darker dentin beneath. This natural process can result in a yellowed or discolored appearance. Teeth whitening can help counteract these effects by lightening the tooth color and improving overall brightness.
- Teeth whitening is particularly effective for individuals with mild to moderate tooth discoloration. Whether the discoloration is due to food and drink, smoking, or other lifestyle factors, whitening treatments can significantly improve the appearance of the teeth and enhance self-confidence.
- Teeth whitening can benefit individuals looking to enhance their smiles for special occasions, such as weddings, graduations, or job interviews. A brighter smile can boost confidence and make a positive impression, making it a popular choice for cosmetic enhancement.
- Teeth whitening is best suited for individuals with healthy teeth and gums. Addressing significant dental issues, such as cavities, gum disease, or cracked teeth, is essential. Once oral health is restored, teeth whitening can be considered to improve the smile’s appearance.
Types of Teeth Whitening
In-Office Whitening
In-office whitening, also known as professional whitening, is performed by the family dentist in Santa Clara, CA. This method provides immediate results and is highly effective for significant discoloration.
The process typically involves applying a highly concentrated whitening gel to the teeth, often activated by a special light or laser to enhance the whitening effect. The procedure usually takes one to two hours and can lighten teeth by several shades in a single visit.
In-office whitening is ideal for individuals seeking fast results and those with stubborn stains that might not respond well to other treatments. Contact us today to learn more.
Advantages:
- Significant whitening effects are often visible after just one visit.
- Dentists monitor the treatment to ensure safety and effectiveness, minimizing the risk of side effects.
- The procedure can be tailored to address severe staining and meet individual whitening needs.
At-Home Whitening Kits
At-home whitening kits are convenient and cost-effective for achieving a brighter smile at your own pace. These kits usually include a lower concentration whitening gel, custom-made trays, or pre-filled strips applied to the teeth over days or weeks. Custom trays are created by our dentist to ensure a precise fit, allowing for even application of the whitening gel.
Over-the-counter options like whitening strips and gels may offer less dramatic results than professional products. At-home whitening kits are suitable for individuals who prefer a gradual approach and want to maintain or enhance results after an in-office treatment.
Advantages:
- Allows users to whiten their teeth at their own pace and within the comfort of their homes.
- Generally more affordable than in-office treatments.
- Various kits are available to suit different levels of sensitivity and whitening needs.
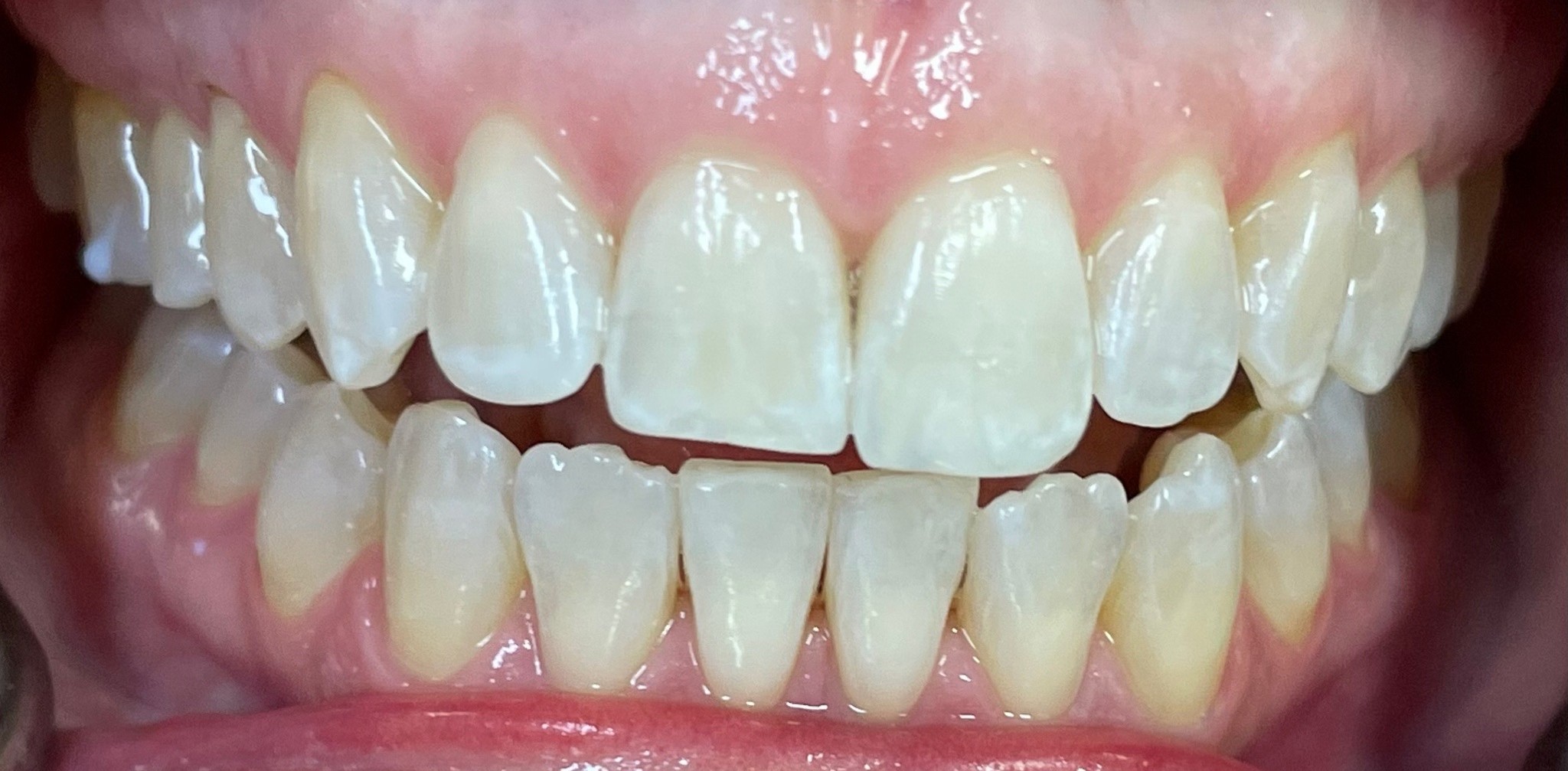
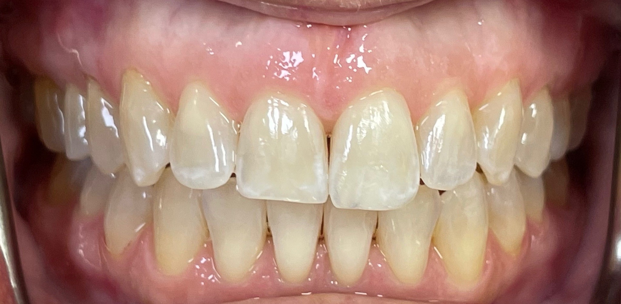
The Importance of Teeth Whitening
Enhances Aesthetic Appeal
One of the most immediate benefits of teeth whitening in Santa Clara, CA, is the improvement in aesthetic appeal. Over time, teeth can become stained or discolored due to various factors such as diet, smoking, and aging. Whitening treatments effectively remove these stains, resulting in a brighter, more youthful-looking smile. This appearance enhancement can significantly impact how individuals perceive themselves and how they are perceived by others, contributing to a more confident and attractive appearance.
Boosts Self-Esteem and Confidence
A whiter smile can profoundly affect self-esteem and confidence. Many people feel self-conscious about the color of their teeth, which can lead to reluctance to smile or speak openly. By achieving a brighter smile through whitening treatments, individuals often experience a boost in confidence, leading to increased social interactions, improved personal relationships, and a greater willingness to participate in social and professional activities.
Improves Oral Health Perception
While teeth whitening primarily focuses on aesthetics, it can also contribute to a positive perception of oral health. A bright, clean smile often reflects good oral hygiene practices, which can reinforce the importance of maintaining overall dental health. For many, the whitening process includes regular dental checkups and cleanings, essential for preventing and addressing dental issues.
Enhances Professional and Social Opportunities
A bright, attractive smile can have practical benefits in professional and social settings. In job interviews, presentations, and social gatherings, a confident smile can make a positive impression and enhance one’s overall presence. Teeth whitening can create a polished and professional appearance, potentially influencing career opportunities and social interactions.
Complements Other Cosmetic Dental Treatments
Teeth whitening can complement other cosmetic dental treatments, such as veneers, crowns, or orthodontics. Achieving a whiter smile can enhance the overall results of these treatments, creating a more cohesive and aesthetically pleasing appearance. Whitening before undergoing additional cosmetic work ensures that all aspects of the smile align with the desired outcome.
Teeth whitening is important for its ability to enhance aesthetic appeal, boost self-esteem, and provide a noninvasive solution for a brighter smile. Visit Crestview Family Dental at 265 Crestview Dr, Santa Clara, CA 95050, or call (408) 217-0727 to book your appointment and discover the transformative power of a whiter, brighter smile!
Visit Our Office
Office Hours
- MON8:00 am - 5:00 pm
- TUE8:00 am - 5:00 pm
- WED8:00 am - 5:00 pm
- THU8:00 am - 5:00 pm
- FRIAppointment Only
- SATAppointment Only
- SUNClosed










